牙齿冷光美白多少钱快速?你是否会羡慕非洲人牙齿白呢?又是否看到电视上的广告某某牙膏可以美白牙齿,而心动?如果你正在为自己的牙齿不够白而烦恼,那现在请你去尝试一下上海美莱冷光美白,冷光美白能够起到很好的美白牙齿的作用。那么,牙齿冷光美白多少钱快速?

牙齿冷光美白为什么能够有这么好的呢?
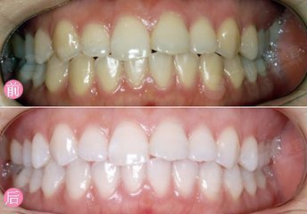
牙齿冷光美白技术是通过特殊冷光作用在冷光美白剂上快速产生氧化还原作用,从而去除牙齿表面附着的色素,达到美白牙齿的。整个过程仅需30分钟,安全快速美白牙齿,显著,让笑容变得自信起来。
牙齿冷光美白多少钱快速?与求美者牙齿情况有关
有的求美者只是因为咖啡因等覆盖造成外源性着色,有的是严重的四环素牙,每个求美者的牙齿变色情况是不同的,因此美白牙齿的方案和力度会有所差异,牙齿冷光美白快速的价格也有所差异了。
牙齿冷光美白多少钱快速?与的选择有关
不同牙齿冷光设备的档次是不同的,牙齿冷光美白自然也会有所差异。有的做快速牙齿冷光美白就能让牙齿变得洁白无瑕,有的做快速只能起到淡化色素的作用。不一样了价格自然也就不一样。
牙齿冷光美白多少钱快速?与医生的技术水平有关
牙齿冷光美白技术需要由专业的牙医生和冷光操作员共同完成,医生经验越丰富、技术越纯熟,自然也就越好。资历高的医生收费高是很合理的事情。》》》》》推荐阅读:《上海哪些人适合喷砂美白牙齿》
牙齿冷光美白多少钱快速这个问题是没有明确的答案的,它是由很多因素共同决定的。不过,专业正规的整形的收费标准需是比较合理的,大家不用太担心价格的问题。上海美莱是正规的大型医疗美容,是大家值得信赖的整形美容。想要了解更多信息可以点击咨询在线客服。
不放过细节,从头发武装到牙齿 自信上镜大胆笑!
冷光美白特价¥999元/次;

