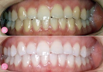
牙齿美白方法法一:冷光美白,是一种快速而又安全的牙齿美白技术。低温冷光,避免了治疗过程中对牙神经的刺激。美白剂的主要成分为过氧化氢,安全使用在牙齿脱色上已有10年之久。与其他美白牙齿的方法相比,冷光美白的优势在于理想,对牙齿无损伤,美白较为理想。所以说是很好的一种牙齿美白方法。

较好的牙齿美白方法是什么?随着人们爱美意识的增加,对于牙齿美容也是比较在意的,一口洁白的牙齿不仅可以为我们的面容增色不好,还有益于身体健康。但是由于一些人因为不良的生活习惯牙齿变黄了,这个时候,要使用什么样的牙齿美白方法改善呢?
牙齿美白方法方法二:超声波洗牙,洗去牙齿表面的软垢色素和牙结石,一般是由于抽烟、喝茶等外部原因造成的,通过超声波的很快频率的震动达到美白的,能保持的时间大致是半年到一年,如果保健不好或牙周病患者,需三个月洗快速。
牙齿美白方法三:烤瓷牙也叫烤瓷套冠,烤瓷修复,是一种有效性修复方法,如果制作较好的话至少可以保持十年甚至更长的时间。主要原理是金属和瓷混合使用,里面是金属,外面是瓷,不容易断裂,是戴在牙齿上的帽,对健康没有什么大的副作用,根据金属性质的不同对人体的影响也不同,贵金属和人体的相融性比较好,相对来说对人体的刺激性较小,但是价格较贵。》》》》》》》推荐阅读:《上海冷光牙齿美白注意点有哪些》
现在知道牙齿美白方法都有哪些了吧,这些牙齿美白方法都不错,如果想美白牙齿的话,就赶紧行动吧。不过,还是建议您可以联系上海美莱整形在线的客服,了解详细的情况。
让自己变得更漂亮更自信!
她们都已经变美享受悠闲假期
你在犹豫什么?
1、脱毛活动:3人同行6折,6人同行4折,10同行3折
2、牙齿美白:冷光美白牙齿3人同行588元。


