看中了一个口红
是不是觉得自己涂上特别美
老公准备100了是不是?!
BUT! BUT! BUT!
看起来近乎好的宝宝们
都有一个致命的bug!!

>>>>>>>点击这里直接与客服对话,我们在线为你解答<<<<<<<
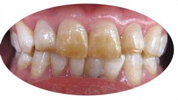
可惜少了一口大白牙
你和女神之间的距离除了口红
可能还缺一副美牙
美丽口红的标配
显然是润泽漂亮洁白的牙齿
牙齿冷光美白
很多明星在做

>>>>>>上海瓷贴面美白牙齿,限时买一送一<<<<
那就是上海美莱美容整形的冷光美白牙齿
上海美莱美容冷光美白牙齿,是利用冷光(高强度的蓝光)照射在美白剂上,使它更容易穿透过牙釉质,加强美白的。
上海美莱美容口腔医生周茹介绍说正规的冷光美白不会伤害牙齿,做完后牙齿会有轻微的钙化,不过会自动修复的。很多人在做的过程中和做完后会感觉酸痛,这是正常的,一般一到两天内会恢复。
美白的因人而异,但是大部分人做快速就能变白,有的人可能要多做几次才能看到,比如内源性着色的人。如果需要更好的美白,就需要更多的次数。

一般正常情况下冷光美白牙齿的,可以保持2-4年的时间,牙齿美白保持时间长短取决于你如何维护。
做完冷光美白牙齿后巧克力、咖啡、可乐、咖喱等等了解是要少碰的!
宝宝们
你们与女神的距离
就差个冷光美白
赶紧来上海美莱美容整形做冷光美白牙齿吧
下一个微笑女神就是你

