春暖花开的季节,一起去洗个牙呗。。。
关于牙齿,人们经常这样说的:牙齿是病掉的,而不是老掉的。而洗牙正是帮助我们预防牙齿“生病”的好方法。那我们怎么才能知道自己是不是需要洗牙了?一起来听听上海美莱美容整形口腔医生周茹是怎么介绍的!
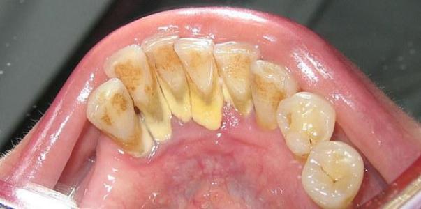
1、看看自己牙齿上是否有牙垢
张开嘴,观察牙缝是不是有食物残留,牙齿是不是黄黄的。牙菌斑和牙结石往往刷牙是解决不了问题的,需要去洗牙才能清除它们。

>>>>>>>点击这里直接与客服对话,我们在线为你解答<<<<<<<
2、看看自己的牙齿上是否有龋齿
看牙齿,是否有黑点是否有色斑色素沉着。可以用舌尖感觉每一颗牙齿,检查牙齿是否有缺失、外邪、松动、酸痛等问题。
3、看看自己是否有口腔溃疡
检查口腔,有没有溃疡、异味或者莫名的肿胀。像口腔溃疡和有牙龈炎症的人,不能接受喷砂洗牙。
4、你的牙龈是否正常
牙龈正常的颜色是粉红色。我们可以观察有没有红肿的迹象,如果红肿就表示有牙龈炎,牙龈炎进一步发展,就成为牙周炎,出现牙龈萎缩、上火时牙疼、牙齿松动等症状。

5、你的牙齿是否松动
上下牙齿轻叩,或者用牙刷帮助观察牙齿是否个个稳定,有没松动现象。牙周炎发展到需程度会引起牙齿出现不同程度的松动。就好像水土流失后的土壤上面长着的小树,根基不稳了,松动甚至倒落也只是时间问题了。
6、你的牙齿是否有过敏现象
用冷水刷牙时或者吃冷热酸甜等刺激性的食物,有没有酸、痛、软感、或者出血的现象。
以上你中了几项呢?自测一下吧,发现牙结石不要犹豫,赶紧洗牙,预防龋齿、牙周病从洗牙开始!

上海美莱美容整形超声波洗牙:超声波洗牙,是通过超声波的高频震荡作用去除牙石、菌斑和色泽并磨光牙面,以延迟菌斑和牙石的再沉积。其具有、优良、省时省力的特点,对牙面的损害极小。可以防止牙龈出血或者牙齿松动的情况,帮助治疗牙周炎等口腔疾病,而且对牙面的损害比较小,治疗方便,,不会伤害到口腔健康。

