牙齿到底能不能刷白??
如果天生白的话,是可以靠后天维护的!
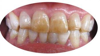
但,如果牙齿天生就不白
是不是就刷不白了呢?
是的刷不白,怎么刷都刷不白!
那么,想要牙齿白就没有办法了吗?

>>>>>>>点击这里直接与客服对话,我们在线为你解答<<<<<<<
美牙不能停!美牙不能停!美牙不能停!
重要的事情我要说四次,美牙不能停!
那么牙齿黄刷不白,到底需要怎么做?
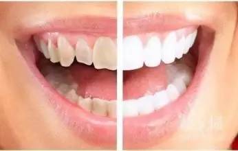
答案是:上海美莱瓷贴面可以帮到你
这一切都不是天生牙齿黄的错
你应该依靠“瓷贴面”让自己从此告白黄牙

什么是瓷贴面?
上海美莱瓷贴面,其实就像我们装修房子的时候,在毛坯房上贴上瓷砖啦,哪怕墙面颜色再糟糕,再坑坑洼洼,都可以用瓷砖铁成自己喜欢的样子。
瓷贴面是在尽量少磨牙的情况下,将瓷质材料“贴”在牙齿外侧,从而改善牙齿外观和颜色,可以说是一种个性化的牙修复,可以与真牙媲美,甚至在颜色和形状上比真牙更美观。
瓷贴面适合什么人群?
瓷贴面对牙齿的要求比较高,有些牙齿不整齐的顾客,虽然也可以做瓷贴面,但往往需要磨除过多的牙齿,通过全冠修复使牙齿变整齐,这样的磨除对牙齿的损伤较大,所以建议牙齿不整齐的顾客先矫正牙齿,等到把牙齿移动到正确的位置,再做瓷贴面,改善牙齿美观。
做瓷贴面会损伤牙齿吗?
贴瓷面磨牙量比较少,基本都还在牙齿的珐琅质层,甚至多数人牙髓健康的牙齿都不需要打麻药就可以磨改。牙齿因磨除少,相对于全冠修复来说贴面是更健康的修复方法。

牙齿整齐美观了,
颜值都up up up了
想让牙齿更白一点
当然少不了上海美莱贴瓷面

