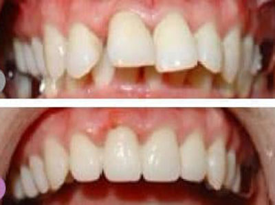
牙齿矫正需要多长时间?都说爱笑的人运气不会太差,如何才能拥有自信的笑容。必不可少的就是整齐的牙齿。但是现实生活中很多人都有牙齿不整齐的想象?对于这些人群,很多人都会选择通过牙齿矫正来改变自己牙齿的缺陷。那么牙齿矫正需要多长时间?下面就让上海美莱医疗美容的医生给我们说一说。

牙齿矫正需要多长时间?在很多人看来,牙齿矫正就是利用各种方式让牙齿排列整齐,以达到美观的。事实上,这只是牙齿矫正的一个方面。除了排齐牙齿,牙齿矫正更重要的是解决牙齿之间不良的咬合关系,在儿童生长发育期,矫正还包括解决儿童的某些口腔不 良习惯,如异常吐舌,咬唇,吮指,开口呼吸等,以咨询和改善因为这些不 良习惯造成的颌面部发育的异常乃至畸形。
牙齿矫正需要多长时间?牙齿矫正时间根据治疗者的年龄不同会有所差异,儿童是比较快一些,一般矫正需要一年半到两年左右,矫正简单可能只需要几个月。牙齿矫正的具体时间与很多因素有关,拔牙比不拔牙时间长;骨骼畸形比单纯牙性畸形的矫治时间长。牙齿矫正并不是越快越好,需要用的时间还要看具体的分析,还要看使用什么方法。如果用仿真牙修复的话,只需要5到7天就行。那如果进行有托槽或无托槽的矫正相对的时间就会长一些。
牙齿矫正需要多长时间?牙齿矫正时间与个人牙齿的情况有关。每个人牙齿拥挤和不齐的程度都不一样,有的需要拔牙治疗有的则不需要拔牙,这些都会导致矫治时间的不同。另外,年龄也是导致矫治时间不同的因素之一。》》》》》推荐阅读:《原来牙齿不齐危害这么大》
牙齿矫正需要多长时间?牙齿矫正的时间还与矫治材料有关。个人的情况不一样,采取的治疗方法和需要的治疗时间也就不同。从而牙齿矫正的材料也不一样,如果选择隐形无托槽矫正,这种矫治方式几乎是有效隐形的,隐蔽性极好,但相对于有托槽的矫正方式来说时间就会稍微长一些。
牙齿矫正需要多长时间?上面就是医生的介绍了,医生温馨提示为了您的健康与安全,以及你治疗后的,您需要选择比较正规的整形进行牙齿矫正治疗。

