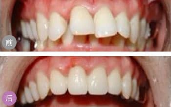
上海牙齿矫正会痛吗?都说洁白的牙齿能展现自信的笑容,可是如果牙齿不整齐是不是也会影响面部美观?现在牙齿矫正可以帮助你矫正牙齿。但是很多人都会关心一个问题:牙齿矫正会痛吗?下面就让上海美莱医疗美容的医生给我们介绍介绍。

牙齿矫正会痛吗?矫牙后疼痛是身体正常反应,美莱医生表示,矫牙在短期内有疼痛是很正常的,这是身体组织的一种正常反应。当牙齿接受像牙齿矫正这种轻微而持续的外力时,牙齿本身是不会痛的,但是这个力道会使得位于牙齿与齿槽骨之间的牙周膜受到拥挤、拉扯。
牙齿矫正会痛吗?疼痛多发生在术后5-6个小时。一开始这些物质的浓度很低,尚不够让大脑感受到疼痛,差不多在安装矫治器后 5-6个小时,其浓度才足以引发疼痛的感觉。疼痛,其实是身体为了保护器官的一种反应,其目的是为了提醒我们移开造成疼痛的外力,以免组织受损。
牙齿矫正会痛吗?大多数矫牙者轻微疼痛不超过3天。矫牙后疼痛感维持时间一般不超过10天,大多数人3天内可缓解,不必过分担心。而且,大部分矫牙过程中的不舒服都在可忍受范围内,少数成年矫治者,疼痛反应较重时可在此期间适当服用止痛药。一旦疼痛时间过长或疼痛程度强烈,可在医生指导下采取止痛措施。》》》》》推荐阅读:《上海牙齿矫正需要多长时间》
牙齿矫正会痛吗?一部分患者治疗过程中始终没有疼痛;大多数患者在戴牙套后的两三天,会有酸胀不适的感觉或者在咬牙、咀嚼时会有疼痛不适的感觉,但能够正常饮食;极少数患者疼痛而无法正常饮食,这时我们会有服用药物相应指导。一般较长不超过一周,所有不适感觉均能消失。拆除牙套时个别牙会有轻微的疼痛,另外牙套磨嘴也可能产生疼痛。不过这些是都是暂时的。

牙齿矫正会痛吗?正畸治疗的疼痛还与每个人对疼痛的敏感性和精神紧张程度有关,所以要放轻松,缓解紧张情绪。总之,正畸的疼痛是儿童青少年、成人均能接受的程度,不必要有过度的担心。
牙齿矫正会痛吗?以上就是上海美莱整形的医生的介绍了,从介绍中我们可以知道,牙齿矫正会出现疼痛,这属于正常反应,而且这种疼痛是可以接受的,并且在术后几天内会自动消除的。
不放过细节,从头发武装到牙齿 自信上镜大胆笑!
冷光美白特价¥999元/次;
时代天使隐形矫正立减10000元


