美丽笑容是什么?
对上海美莱口腔来说
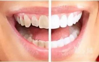
美丽笑容便是
美白的牙齿

仅凭这
也能成为俘获男神的杀手锏
保持一口大白牙不仅能拉近你和别人的距离
关键是能提升你和你男友的感情升温和羞羞的质量哦
冷光美白牙齿会不会痛?可现实生活中有太多的牙齿都不够白,所以小编推荐大家做冷光美白牙齿,很多姑娘问小编,冷光美白牙齿会不会痛?下面请上海美莱口腔医生周茹为大家介绍冷光美白牙齿!
冷光美白牙齿会不会痛?其实,求美者们不必担心这个问题,因为,冷光美白牙齿技术,与传统的洗牙是不同的。冷光美白牙齿具有特殊的低温冷光系统,在操作中不会接触牙齿,避免了损伤牙齿组织,同时去除牙齿表面以及深层的色素,过程舒适,没有疼痛感,牙齿美白理想,一般都够维持2年左右的时间。

>>>>>>上海牙齿冷光美白要多少钱<<<<<
上海美莱口腔医生周茹还特别提醒:冷光并不是真正的没有温度的光,美白术前,患者牙龈上要涂抹护龈剂保护牙龈。牙齿冷光美白后建议治疗后24小时内避免冷热饮;冷光美白后24小时内,牙齿很容易再染上有色物质,必须避免饮用茶、咖啡、可乐、红酒、莓果类饮料、有色牙膏、漱口水等及食用深色食物,同时要避免吸烟;为防止牙齿在冷光美白后吸收更多色素,一星期内,不吃容易染色的食物。冷光美白后要定期检查牙齿和洗牙才能维持牙齿美白。
通过以上上海美莱医生周茹对冷光美白牙齿的介绍,相信大家对冷光美白牙齿有了需的了解,如果你还想了解更多,欢迎随时拨打上海美莱医疗美容医院在线咨询!我们的医师将实时为您在线私密解答。

